手外科センター
手術例
- 切断指・四肢再接着術
- 遊離組織移植術を用いた再建手術(造母指術、指移植術など)
- 手指腱縫合術
- 血管・神経縫合術
- 骨折・脱臼観血的整復固定術
- 手先天異常手術(合多指症など)
- 神経麻痺(手根管症候群、肘部管症候群など)
- 手関節疾患(キーンベック病、TFCC損傷など)
- 関節リウマチ(手指の障害)
- 手指腱鞘炎(バネ指、ド・ケルバン腱鞘炎など)
- デュプイトレン拘縮手術 等
主な手術症例の紹介
当手外科センターでは、顕微鏡下に1mm以下の太さの血管や神経を縫合するマイクロサージャリーのテクニックを用い、切断指再接着や他部位からの遊離複合組織移植を用いた手指再建を行っています。
このページでは、患者さんのご厚意により許可を得て手術症例を紹介していきます。
※以下に手術の写真等が掲載されていますので、苦手な方はご遠慮下さい
切断指再接着

切断指再接着
中環指切断に対して、緊急で再接着手術を行い、切断指を温存することができました。
写真は受傷時のレントゲンと、術後2か月の外観です。
切断前腕再接着

切断前腕再接着
前腕切断に対して、緊急で再接着手術を行いました。
写真は受傷時のレントゲンと、術後2か月後の外観です。
造母指手術

造母指手術
前医にて切断指再接着後壊死した症例に対して、Wrap around flapという手術を行い、母指を再建しました。
爪欠損の再建

爪欠損の再建
小指指尖部切断に対して、第4足趾移植術を施行し、爪のある手指を再建しました。
上肢の人工関節
人工肩関節置換術

人工肩関節置換術
リウマチ肩による痛みと可動域制限があり、人工肩関節置換術を施行しました。痛みは消失し、肩関節可動域も改善しました。
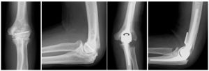
人工肘関節

人工肘関節1
リウマチ肘による痛みと可動域制限に対して、人工肘関節置換術を施行、痛みなく可動域も良好です。

人工肘関節2
肘関節骨折に対し他院で手術を受けられましたが、肘の痛みと運動制限が残存し人工肘関節置換術を施行しました。痛みは消失し、可動域もほぼ正常に回復されました。
人工指関節

人工指関節
リウマチ指で以前中指・環指PIP関節の人工指関節置換術後、手指の尺側偏位が進行し、痛みと指伸展制限があり手術を希望され、示指から環指までのMP関節の人工指置換術を施行。痛みはなくなり、尺側偏位は軽快し、指の可動域も正常になりました。