脳神経外科
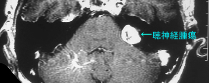
転移性脳腫瘍 聴神経腫瘍 脳動静脈奇形 頭頚部癌の一部、など

放射線治療の最先端
ライナック・ラジオサージャリー
当院は、患者さんのQOLの向上をめざし、21世紀の放射線治療に取り組んでいます。

ラジオサージャリー(放射線手術)とはコンピューターによる計算のもとに正常組織に障害を与えることなく大線量の放射線を1回で”ピンポイント照射”することによって病変を治療する方法です。従来の手術による治療では正常組織の損傷や出血などの重篤な合併症が起こることが考えられる疾患に対して、手術の代わりとして用いられます。
ラジオサージャリーにはガンマ線によるもの(ガンマナイフ)と直線加速器(ライナック)によるもの(ライナック・ラジオサージャリー)があります。当病院は、中四国地区では最初に(平成8年8月1日)ライナック・ラジオサージャリーを開始しました。
ライナック・ラジオサージャリーとは
ライナックの回転と寝台の回転を組み合わせて、コンピューターによる計算の下に多数の方向から病変にX線を”ピンポイント照射”するものです。これにより周囲の正常組織への障害がほとんどなしに、大量のX線を集中させて治療が可能です。
ライナック・ラジオサージャリーの実際
一人ひとりの顔と頭部の形に合わせてマスクを作成します。麻酔や剃髪は要りません。

脳定位手術用の固定枠を取り付け、CTを撮ります。

ここで一旦マスクを外して病室に帰ります。
CTのデータを治療計画用のコンピューターに転送します。
治療計画ソフトを使い、MRデータと組み合わせて、正確な照射部位、照射範囲、照射方向、X線照射量を計算します。

治療計画ができると再びライナックの部屋に入り、治療寝台に乗り、マスクを付けて頭部を固定します。

ライナックの照準器を取り付けて照射位置をレーザー光線を使って正確にあわせます。
照射計画に従って、ライナックが回転しながらX線を照射していきます。

照射そのものは数10分で終了します。
治療終了後、すぐ食事ができます。
日にちを分けて治療する時も自分のマスクで治療が可能です。

治療後、すぐ~2、3日で退院できます。
CT装置が治療室と同じ部屋に設置されているので他の患者さんの検査に妨げられることなく検査し、治療計画を立てることが出来ます。また、位置が変わったと思われるときすぐにCTを撮って修正が出来ます。

治療効果の判定
癌の転移などは1カ月後から縮小を始めます。脳動静脈奇形は2年の経過で約8割の症例が完全消失します。
代表例の提示
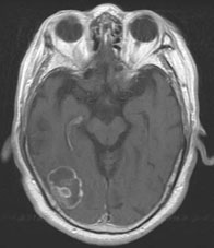
転移性脳腫瘍 肺癌の脳内転移
[ラジオサージャリー前]
CT(左画像): 左下の黒くなっているところが癌、 造影MR(右画像):左下の周りが白い線で囲まれたようになっているところが癌

[ラジオサージャリー後2ヵ月半]
CT、MRともに癌が縮小している。

どのような疾患を治療するの?
頭部の病変が対象となります。一部耳鼻科や口腔外科の疾患も対象になります。
下に主な疾患をあげてみました。病変の大きさとしては直径3cm以内が適しています。
脳腫瘍
転移性脳腫瘍、原発性脳腫瘍(神経膠腫、聴神経鞘腫、髄膜腫、下垂体腫瘍、その他の腫瘍など)
脳血管障害
脳動静脈奇形、その他
機能的疾患
パ-キンソン病、てんかん、再発三叉神経痛
耳鼻科、口腔外科の癌の一部
副作用はある?
治療の当日から数日間、頭痛、悪心、嘔吐、発熱がおこることがありますが、一時的なものです。
病変が大きかったり、たくさんある時は数週から数カ月後に稀に副作用がおこるときがあるので、治療後も定期的な診察と検査が必要です。
どの様にしたら治療を受けられる?
各医療機関から山口県立総合医療センター 脳神経外科への紹介。ライナック・ラジオサージャリーチーム(脳神経外科医、放射線科医、診療放射線技師)によるカンファレンスをします。可能と判断されたらラジオサージャリーの施行日の決定。施行日の前日に入院し、翌日施行後に退院。通常4、5日で退院します。繊細な照射を要するときは、数日に渡って照射しますので入院期間が長くなることがあります。
退院後はどうなる?
紹介元の医療機関で経過観察、または山口県立総合医療センター脳神経外科で経過観察します。
(平成21年2月12日)
山口県立総合医療センター
〒747-8511 山口県防府市大崎10077
脳神経外科
TEL:0835-22-4411 内線:333
FAX:0835-38-2210
